矯正治療は、「歯並び」を良くして
笑顔をふやす治療です。
Orthodontics矯正治療
当院の矯正治療
矯正治療の流れ
-

1.不正咬合の相談
患者さんが一番気になってらっしゃるところをお聞きした上で、お口の中をチェックいたします。その後、患者さんと似たようなタイプの不正咬合の症例写真をみながら、一般的な治療期間、装置の種類、および料金などについてご説明いたします。また、未成年者の方はご相談の際に、保護者の方にもご同席をお願いいたしております。ご希望の方は、お電話か受付にてご予約をお取りください(保険内)。 ※お電話を頂戴した際に、患者様の年齢を確認させていただく場合がございますが、ご了承くださいませ。 -

2.精密検査
患者さんが当医院での診療をご希望なさったら、まず精密検査を行います。資料として、パノラマX線写真、顔貌写真、口腔内写真、石膏模型、咬み合わせの記録など、患者さんの症例に応じて採得いたします。
27,500円(精密検査、診断、コンサルテーション費用を含む)。 -

3.コンサルテーション
前回採得した資料を用いながら、歯列矯正専門のドクターが詳細な診断治療計画、期間、費用および支払方法などについてご説明いたします。コンサルテーションの内容に同意されましたら、治療を開始いたします。 -
4.矯正前準備
治療に入る前に、歯科衛生士によるブラッシング指導、虫歯や歯周病、根の病気の治療を行います。矯正治療には年単位の治療期間を必要とするため、その期間中に問題が起こらないよう、前もって治療しておくことが重要なのです。治療開始時期までしばらくお待ちいただくような場合は、定期検診にてお口の状態をチェックいたします。 -

5.装置装着
診断の結果、抜歯が必要な方の場合は、最後の抜歯が終了してからおよそ一週間後に矯正装置を入れていきます。矯正のために行う抜歯処置は自費となります(1本5,000円)。抜歯の必要が無い方の場合は、コンサルテーション後に、ご希望のアポイントを入れてください。 -

6.毎月の調整
毎月1回予定しておりますが、症例によってはその限りではありません。
あらかじめ設定した治療目標までの調整になります。ブラッシング確認
ブラッシングの状態が悪く、虫歯・歯周病治療が必要となった場合は、ワイヤー・装置を一度はずさなければならないケースがあります!) 【ワイヤー・装置の調整(30〜60分)】 -
7.装置除去
歯並びがきれいに整いましたら、ブラケットをはずします。
術前・術後の変化をチェックするための資料採得(術前と同じ精密検査を行います)を行い、保定装置の使用を開始します。 -
8.術後の経過観察
後戻り、成長に関する観察をしていきます。
観察期間は一般的に、ブラケットの付いていた期間の1~1.5倍くらいです。 -

9.終了
最後に完了資料を採らせていただき、治療を終了します。
矯正装置の種類
メタルブラケット
割れることはまず無いのですが、金属がやや目立ちます。
-
メリット
治療効果が高く、衛生的に優れています。 -
デメリット
金属製のブラケットが少々目立ちます。

セラミックブラケット
-
メリット
ブラケットが目立ちません。

マウスピース型矯正装置
(インビザライン)
治療の流れとしては、まず患者さまのお口の型をアメリカの会社に送り、ドクターの治療計画書に沿ったシミュレーションセットアップデータを製作します。担当ドクターは、そのデータを確認し、治療計画通りであれば装置製作を依頼します。約1ヵ月後に治療終了までのマウスピース型矯正装置(インビザライン)が届きます。
患者さまは、4週~6週間隔で歯科医によるチェックを受け、歯の動き具合を確認しながら次のステップ(1ステップ・2週間の装着)に進んでいきます。
-
メリット
- 1.ブラケットを使用しないので、他人に見えない矯正治療が行えます。
- 2.術前の模型一つで、治療が終了するまでの透明トレーが作れます。
-
デメリット
- 1.治療途中で虫歯治療をして、歯牙の形態が変化してしまうと、その後のトレーが適合しなくなる可能性があります。このような場合には、再度お口の型を採り、新たなトレーを作っていきます(別料金がかかります)。
- 2.毎日の使用時間(20時間/日)を守れないと、治療期間が長引いてしまいます。
- 3.適応となる症例が限定されることが予想されます。
マウスピース型矯正装置(インビザライン)には非適応症例がありますので、詳細はお問い合わせください。
-
インビザライン
解説ムービー-患者編- -
インビザライン
解説ムービー-製造編-
小児矯正
小児矯正について
まだ永久歯が生え揃っておらず、矯正治療を2回に分けて行う場合。
-
1期治療
顎の大きさ、歯の大きさなどの不調和、また後続永久歯の生える隙間の確保が必要で、このままに放置すると酷い噛み合わせになってしまう状態であると診断された場合(~小学生くらいまで)。
-
2期治療
1期治療後に経過観察をし、歯並びの調整が必要になった場合は、永久歯にブラケットを装着し、緊密な噛み合わせを完成します(小学生高学年~中学生くらい)。歯牙の萌出状況によっては、1期治療だけで終了することもあります。

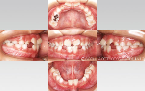
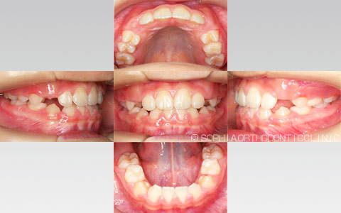
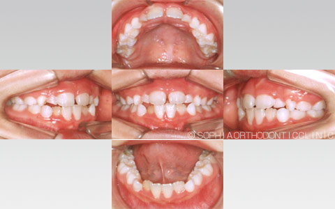
症例紹介
-
-
術前
-
術後
-
-
-
術前
-
術後
-
-
-
術前
-
術後
-
-
-
術前
-
術後
-



